PERCHÈ PER GENESIIL
TUO SORRISO CONTA

Il metodo ITAKA unisce biomeccanica e anatomia funzionale per progettare protesi che non solo sostituiscono i denti, ma rispettano la dinamica naturale di articolazioni e muscoli mandibolari.
Grazie a tecnologie digitali avanzate e modelli biomeccanici, simuliamo con precisione i movimenti mandibolari, creando sempre protesi che riducono disfunzioni articolari, migliorano la masticazione e alleviano la tensione muscolare.

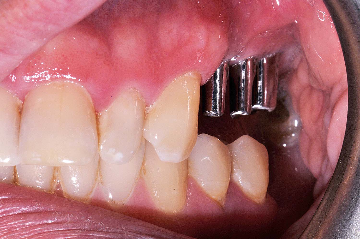
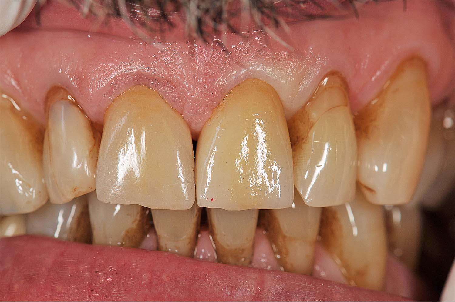
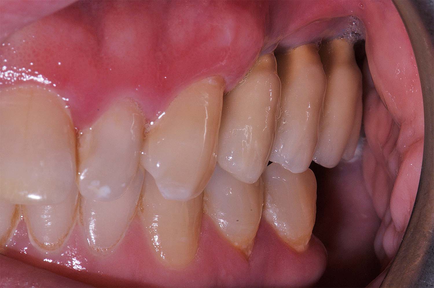
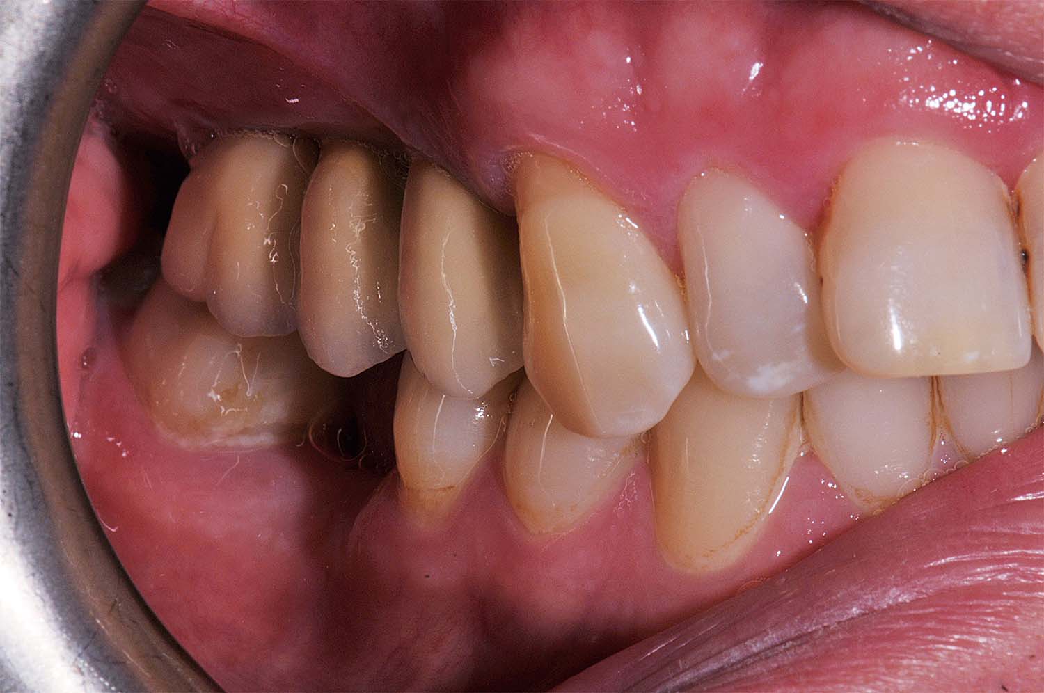
Composito impianto

Corona definitiva in metallo composito avvitata su impianto

Caso Iniziale

Caso Iniziale

Dispositivo

Dispositivo

Installazione

Installazione

Faccetta ceramica digitale analogica

Con questo caso abbiamo iniziato a integrare futuro e passato, da una impronta digitale creiamo una faccetta in ceramica feldespatica su rivestimento refrattario.

Modello digitale

Modello digitale con refrattario

Modello digit+ mocone refrat

Faccetta ceramica su modelli stampati

Faccetta realizzata ceramica

Faccette ceramica

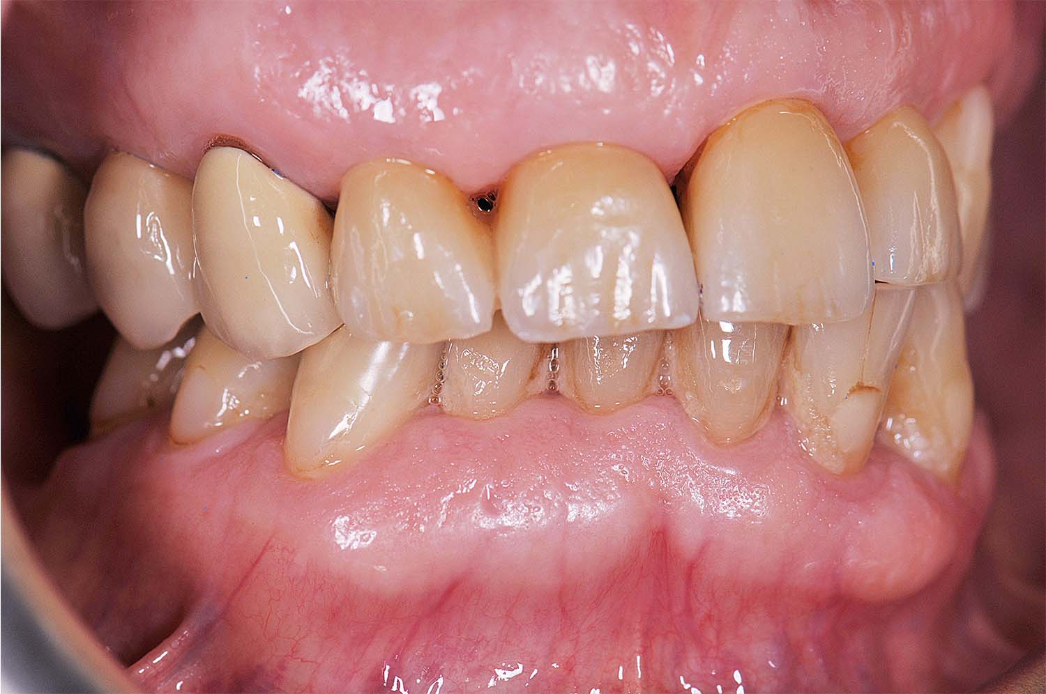
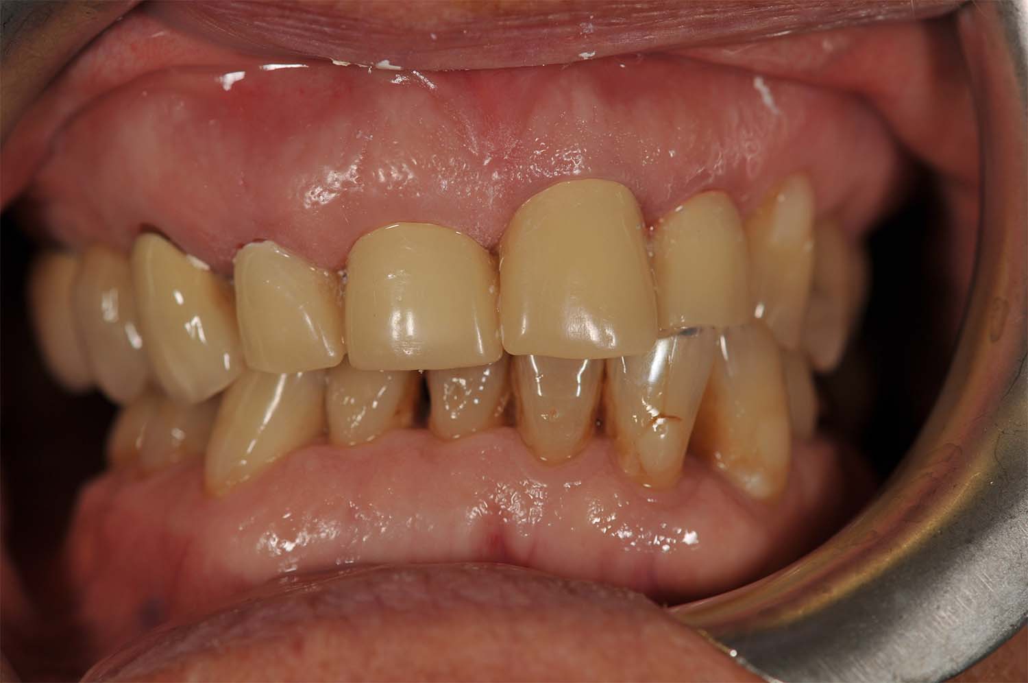
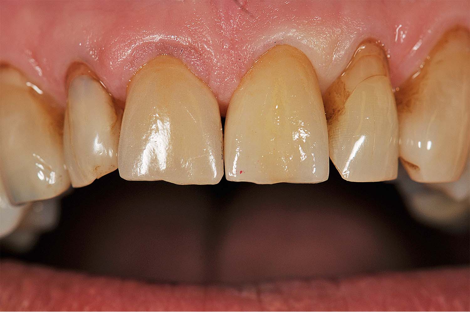
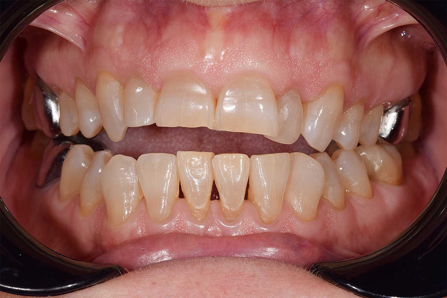
Caso complesso per apertura morso e conseguenti contatti masticatori posteriori su settimi. Dopo una indagine ITAKA e trascorso dei mesi con rebalance , per valutare eventuali crash, il clinico ha optato per riabilitazione con faccette in ceramica feldespatica.

In collaborazione studio Dott.ssa Gloria Mercanti

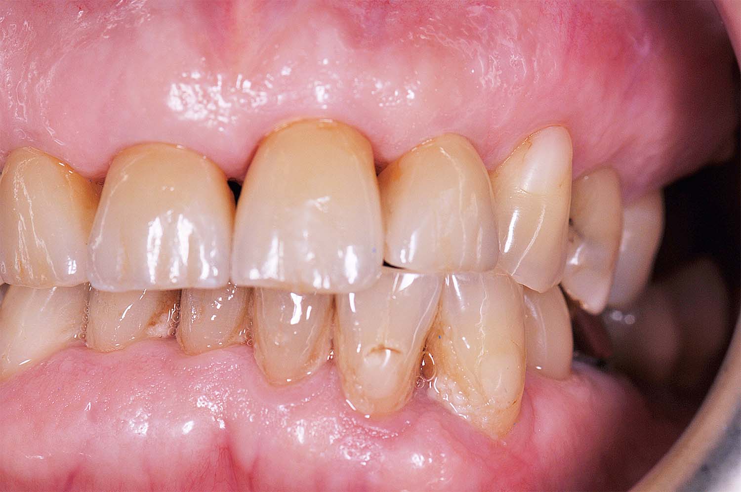
Caso iniziale

Caso iniziale

Caso iniziale

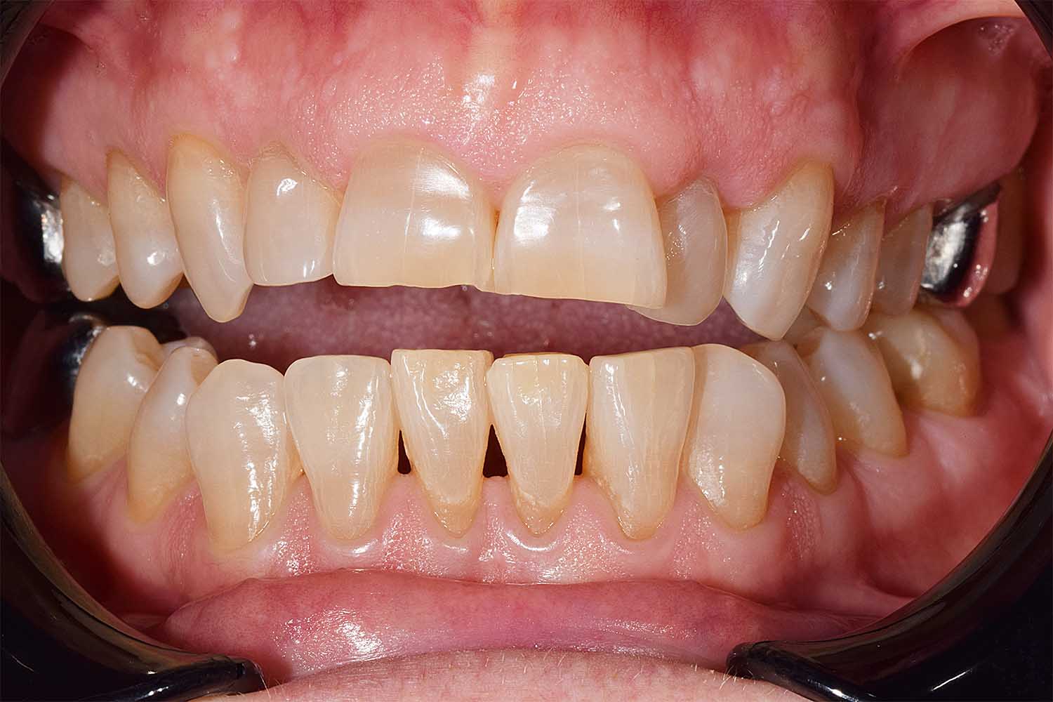
Caso finito lab

Caso finito lab

Caso finito lab

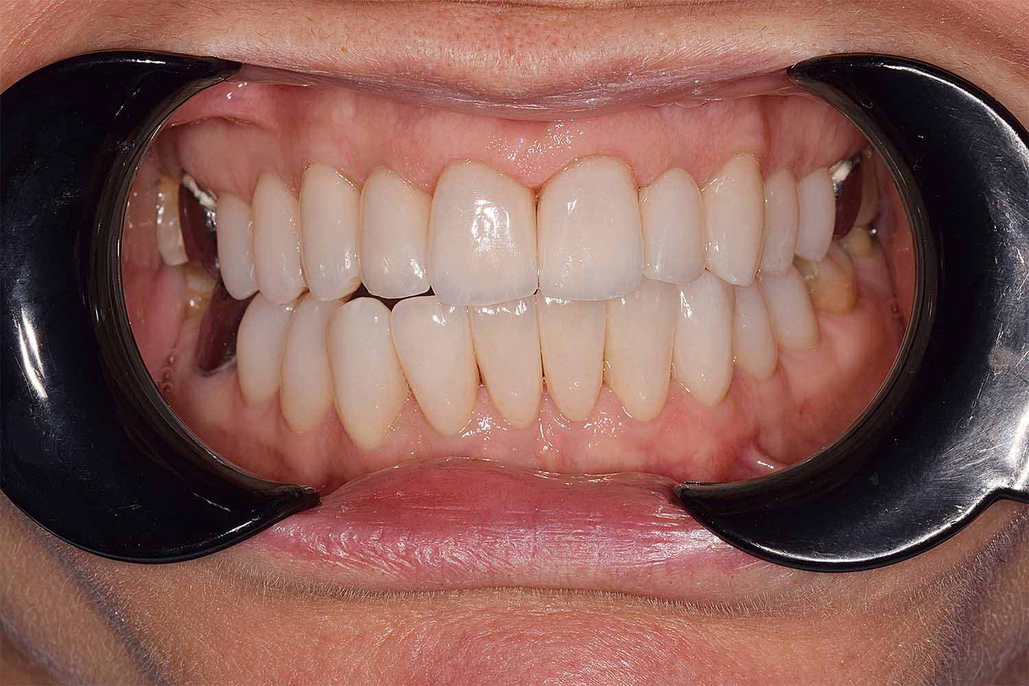
Caso finito

Caso finito

Caso finito

Incisivo centrale zr ceramica

Lavoro “semplice” e veloce, one shot, corona zirconia microstratificata solo vestibolarmente

Caso iniziale

Scelta colore

Caso ultimato

Caso ultimato

Intarsi composito digitali

Altro esempio di utilizzo del digitale, finalizzando il dispositivo in analogico, nel caso specifico intarsi in composito

Cera

Cera

Composito

Composito

Metal ceramica su impianto

Lavoro di routine, classica metal ceramica stratificata, su abutment implantari personalizzati

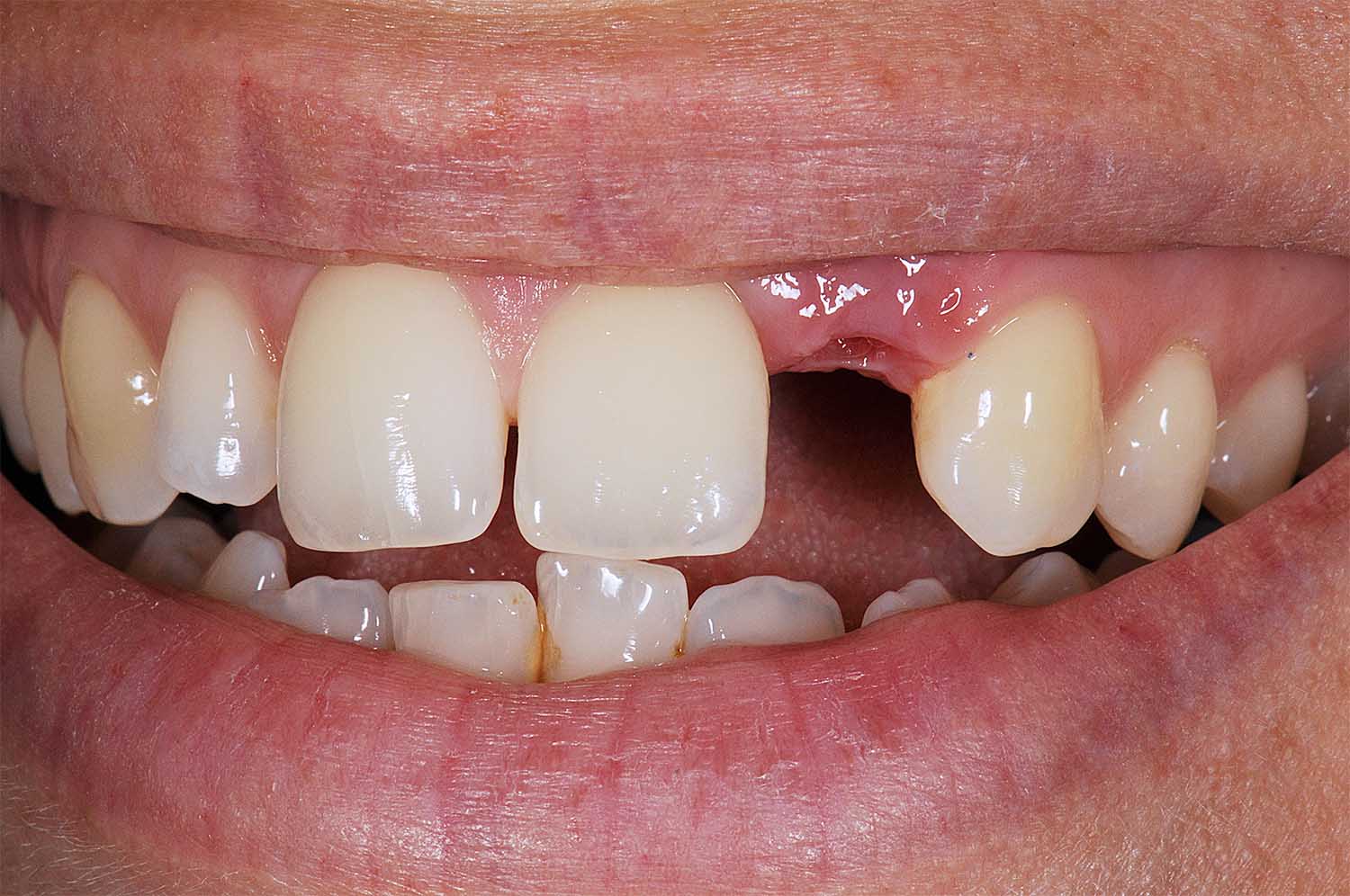
Caso iniziale

Caso iniziale

Caso finito

Caso finito

Rebalance Itaka

Un caso con grave perdita di altezza verticale, siè ritenuto opportuno utilizzare il protocollo ITAKA, vediamo le fasi iniziali fino alla messa in opera del REBALANCE.

Caso iniziale

Caso iniziale

Caso iniziale

Modelli con rebalance

Modelli con rebalance

Modelli con rebalance

Modelli con rebalance

Modelli con rebalance

Modelli con rebalance

Zirconia ceramica

Ponte zirconia ceramica stratificat, alternativa alla classica metal ceramica

Caso iniziale

Caso iniziale prova colore

Caso finito

Caso finito

Caso finito

GENESI LAB
RICERCA, ANALISI
E SPERIMENTAZIONE

Scopri di più